随着运动和出行方式多样化,日常生活中跌倒、运动损伤、交通事故,导致的骨折频频出现,尤其长管状骨作为上肢和下肢的重要支撑结构,其中骨折后的治疗尤为重要。广医一院横琴医院骨科通过及时有效地处理帮助患者恢复到原来的功能,一起通过案例了解一下。
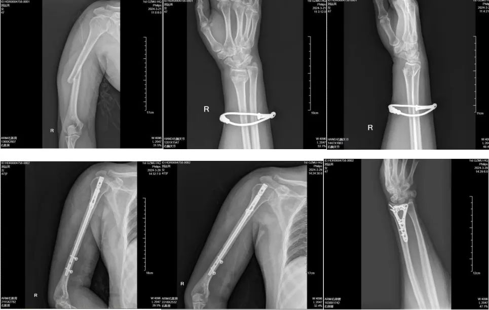
01肱骨骨折+桡骨远端骨折
肱骨是上肢最粗壮的骨骼,连接肩关节与肘关节,对上肢功能至关重要。肱骨骨折常发生于外科颈、肱骨干等部位,多由直接暴力(如重物撞击)或间接暴力(如跌倒时手肘着地)引起。
47岁的刘女士(化名),今年在工作时右臂意外遭到重击受伤,拍片发现右肱骨、桡骨远端骨折,严重影响工作和生活,来到广医一院横琴医院就诊。 在广医一院横琴医院骨科副主任医师闫伦春门诊就诊发现其右肱骨骨折、右桡骨远端骨折,闫伦春副主任医师团队为其行“右肱骨骨折闭合复位髓内钉内固定术+右桡骨远端骨折切开复位钢板螺钉内固定术”。术后进行逐步开始功能锻炼,现已完全康复。 02 股骨骨折 股骨是人体最长的骨骼,支撑着整个身体的重量。股骨骨折多见于老年人,常因跌倒等意外发生,严重时可危及生命。 50多岁的公司职员王先生(化名),车祸致右大腿疼痛,活动受限,无法站立、行走,检查发现其右侧股骨颈、股骨干粉碎性骨折,闫伦春副主任医师骨科手术团队为其行“右股骨骨折闭合复位髓内针内固定术,良好的复位和稳定的固定,早期的功能锻炼,伤后3个月后,王先生康复非常满意,没有遗留功能障碍。 03 胫骨骨折 胫腓骨骨干骨折在全身骨折中最为常见,常因车祸、外伤等意外发生,严重时可导致功能障碍甚至截肢的灾难后遗症。 35岁游先生意外致左小腿疼痛,活动受限,不能站立、行走,求治住院,检查发现胫骨骨折,沟通后给予“闭合复位胫骨髓内钉内定治疗”,手术顺利,术后第二天患者下地行走,顺利康复。 治疗亮点 广医一院横琴医院骨科团队日常工作的部分病例展示,在该类骨科损伤的治疗方面积累了大量临床案例和丰富经验,这些手术的亮点是: ➤ 精准复位:采用微创技术,减少手术创伤,确保骨折端精确复位; ➤ 坚强固定:骨折复位的同时,对骨折端进行可靠的固定; ➤ 早期康复:康复科帮助患者早期进行功能锻炼,加速康复进程。 随着医学进步,骨科手术治疗能帮助患者更快更好地恢复运动功能,也能让创口更加美观,那么,骨折发生后应该注意哪些问题。 骨折后如何应急处理? 当发生骨折时,正确的应急处理至关重要。以下是几个关键步骤: ➤ 保持冷静,立即停止活动:避免骨折部位进一步损伤。 ➤ 固定骨折部位:使用身边的物品对骨折部位进行临时固定,减少移动和疼痛。 ➤ 冷敷缓解疼痛:用冰块或冷湿毛巾冷敷,减轻肿胀和疼痛。 ➤ 及时就医:尽快就医,由专业医生进行评估和治疗。 骨折可以保守治疗吗? 骨折是否需要手术取决于骨折的类型、移位程度以及患者的身体状况。一般来说,闭合性骨折且移位不明显时,可以通过保守治疗(如石膏固定)促进愈合;而开放性骨折、粉碎性骨折或移位明显的骨折,则可能需要手术治疗以达到解剖复位和稳定固定。 骨折多久能愈合? 骨折的愈合时间因个体差异而异,一般成人骨折需要3个月到半年左右的时间。但具体时间还取决于骨折的部位、类型、治疗方法以及患者的年龄、营养状况等因素。在愈合过程中,患者应遵循医生的建议进行康复训练,以促进骨折部位的功能恢复。


无障碍沟通
简体
智能问答



粤公网安备 44049202000001 号