沈女士(化名)一个月前因持续地咳嗽,慕名从外省来到广州医科大学附属第一医院横琴医院党委书记张挪富教授门诊就诊。
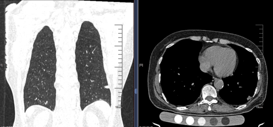
在进行了胸部CT扫描后,张挪富教授发现她的“左肺下叶外基底段有一个大约10×10mm的实性结节,结节呈现出浅分叶状,其性质尚未确定,肿瘤的可能性尚未排除”。
肺结节是良性还是恶性?面对这样的诊断结果,沈女士对于未知的疾病情况感到焦虑不安,对于自己的治疗方式感到迷茫。

为了能够进一步明确诊断,医生建议进行超声引导下肺肿物穿刺活检。超声引导下的穿刺技术是一种超微创的诊疗技术,可以通过最小的创伤来获得最佳的诊疗效果。
该技术具备高度的精准性、安全性和操作的简便性,不仅能够使患者避免传统外科手术的痛苦,而且在一些情况下,其诊疗效果甚至能够超越外科手术,比如包裹性胸腔积液的穿刺引流、肝肿瘤的消融等。
广医一院横琴医院超声医学科的汤庆教授、何炼图副主任医师与呼吸内科彭公永主任医师对沈女士的病情进行了细致的评估。
他们发现,通过超声虽然可以显示出该病灶,但该病灶可显示的范围较小(大小约8mm×7mm),随呼吸若隐若现,通过多切面观察及评估,在患者呼吸配合下终于找到一条安全的穿刺路径,但需要操作时精准定位及配合,否则很容易出现局部气胸及取材不足。通过超声定位病灶。局部进行麻醉,在超声引导下,避开大血管和重要脏器,仅靠针孔大小的伤口,就可以精准地在病灶处穿刺取材。
确定可以手术后,汤庆教授和何炼图副主任医师与呼吸科彭公永主任医师认真排查手术禁忌症,做好一切应对并发症的预防。
在超声介入操作前,汤庆教授与何炼图副主任医师耐心地向沈女士解释了整个操作过程,以及超声介入技术的安全性和可靠性。在医生的语气温和又专业的解释下,沈女士的紧张情绪得以有效缓解。
术中,汤庆教授通过超声定位病灶进行引导,何炼图副主任医师在局部麻醉下,避开大血管和重要脏器,精准地在病灶处穿刺获取病灶组织,顺利完成了取材工作,2条样本均完整。在操作结束后,沈女士没有任何不良反应,情况稳定安返病房,等待她的病理结果。
几日之后,沈女士的病理结果出来,不幸地是,确实是恶性肿瘤。幸运的是,因为在病灶比较小的情况下,及时进行了超声引导下穿刺活检,足够的病理组织明确了肿瘤的病理类型、进行了免疫组化分析,能够有效的指导下一步的对症、靶向治疗。
超声介入是在超声显像基础上为进一步满足临床诊断和治疗的需要而发展起来的一门新技术,是现代超声医学的一个分支。 其主要特点是在实时超声的监视或引导下,完成各种穿刺、活检、置管、抽液、注药、消融治疗等操作,具有精准、安全、操作简便、超微创、痛苦小、疗效好、无需住院或者住院时间短等诸多优点,符合现代微创医学、快速康复的治疗理念。 目前,广医一院横琴医院超声医学科开展的超声介入项目包括有: 1.活检方面:超声引导下胸膜、肺穿刺活检术、颈部淋巴结穿刺活检术、改良法(固定负压+旋切)甲状腺结节细针抽吸组织学检查(FNA)、肝脏穿刺活检术、肾脏穿刺活检术、经直肠/经会阴前列腺穿刺活检术、胎盘绒毛活检术、脐静脉穿刺等。 2.置管引流方面:胸腔、腹腔、心包腔积液置管引流术、肝、肺等实性脏器及胸腹浆膜腔脓肿置管引流术、经皮肝穿刺胆道引流术(PTCD)等。 3.囊肿硬化方面:超声引导下肝、肾、卵巢囊肿硬化治疗术等。 4.注药、松解治疗方面:超声引导下肌骨关节腔内药物注射术、星状神经节阻滞术、腔内超声造影监测下尿激酶溶膈引流多房分隔难治性积液术、小针刀松解术等。 5.热消融方面:超声引导下肝、肺、甲状腺、肾等实性脏器肿物消融术(微波、射频、激光)等。 6.超声造影方面:浅表甲状腺、乳腺等浅表脏器造影;肺、胸膜、肝、肾等实性脏器造影;输卵管造影;心脏造影(含心肌、心房、心室、心包)等。
无障碍沟通
简体
智能问答



粤公网安备 44049202000001 号